Cultural Salud
Covid-19 daña más a los pulmones que el cigarro: experta

Publicación:18-01-2021
TEMA: #Coronavirus
La experta dijo a la CBS que todo el mundo se ha preocupado por la cuestión de la mortalidad, pero también para los sobrevivientes se les deja un problema
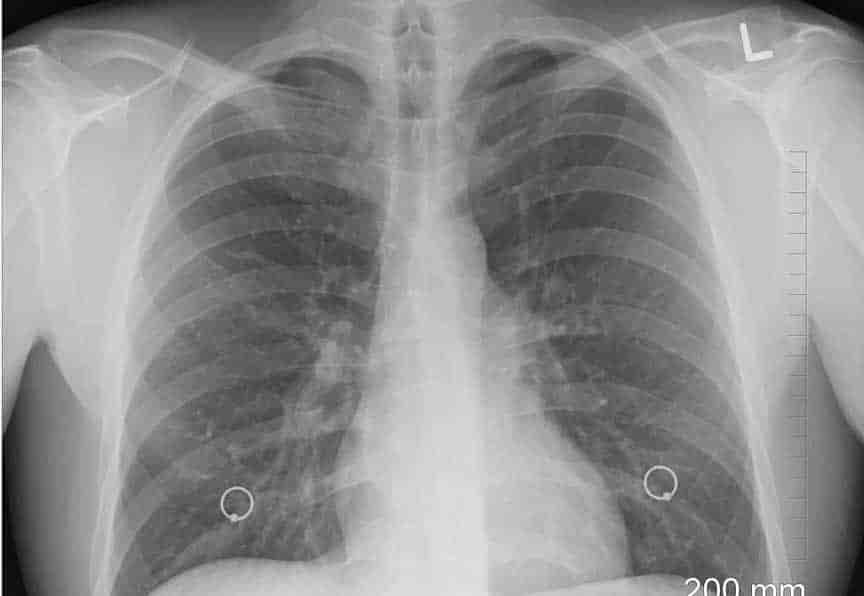
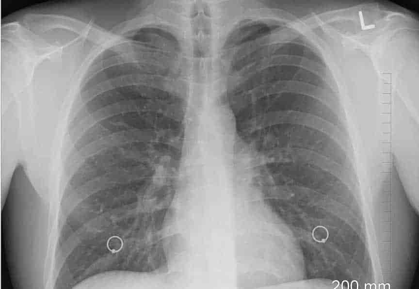
CIUDAD DE MÉXICO.- Con el tiempo y los estudios en torno a los efectos del Covid-19 se han podido conocer detalles sobre las consecuencias del coronavirus en los pulmones
, pues incluso los asintomáticos han llegado a tener un deterioro en estos órganos.
A las investigaciones llevadas a cabo por distintos estudiosos se suma la voz de Brittany Bankhead-Kendall, cirujana traumatológica y profesora asistente de la Universidad Técnica de Texas, quien ha afirmado que al recuperarse del SARS-CoV-2, algunas personas tienen más frágiles sus pulmones que los de los fumadores.
"Los pulmones 'post-Covid' se ven peor que cualquier tipo de pulmón de fumador que hayamos visto. Y colapsan. Y se coagulan. Y la falta de aire persiste y no para" afirmó a través de su cuenta de Twitter.
Este llamado de la especialista norteamericana ha atraído a medios de comunicación como a otros colegas, tales como el epidemiólogo de Harvard Eric Feigl-Ding, quien compartió el mensaje e imágenes de la experta.
La experta dijo a la CBS que todo el mundo se ha preocupado por la cuestión de la mortalidad, pero también para los sobrevivientes se les deja un problema por cómo es que quedan sus órganos.
"Todavía hay personas que dicen 'Estoy bien. No tengo ningún problema', y cuando les haces una radiografía de tórax, absolutamente tienen una radiografía de tórax mala", dijo.
Aunado a lo anterior comentó que se pueden ver a través de los estudios líneas blancas que son indicios de cicatrización y congestión en todo el mundo. "El hecho de que eso esté en una radiografía de tu tórax - es indicativo de que posiblemente tengas problemas más adelante".
Ante ello, Bankhead-Kendall ha hecho un llamado de estar al pendiente de su salud y tomar en serio las advertencias sobre el Covid-19.
"Incluso si sobrevives, es posible que te quedes con algunas complicaciones graves que te hagan muy difícil volver a tu funcionamiento inicial", finalizó.
A las investigaciones llevadas a cabo por distintos estudiosos se suma la voz de Brittany Bankhead-Kendall, cirujana traumatológica y profesora asistente de la Universidad Técnica de Texas, quien ha afirmado que al recuperarse del SARS-CoV-2, algunas personas tienen más frágiles sus pulmones que los de los fumadores.
"Los pulmones 'post-Covid' se ven peor que cualquier tipo de pulmón de fumador que hayamos visto. Y colapsan. Y se coagulan. Y la falta de aire persiste y no para" afirmó a través de su cuenta de Twitter.
Este llamado de la especialista norteamericana ha atraído a medios de comunicación como a otros colegas, tales como el epidemiólogo de Harvard Eric Feigl-Ding, quien compartió el mensaje e imágenes de la experta.
La experta dijo a la CBS que todo el mundo se ha preocupado por la cuestión de la mortalidad, pero también para los sobrevivientes se les deja un problema por cómo es que quedan sus órganos.
"Todavía hay personas que dicen 'Estoy bien. No tengo ningún problema', y cuando les haces una radiografía de tórax, absolutamente tienen una radiografía de tórax mala", dijo.
Aunado a lo anterior comentó que se pueden ver a través de los estudios líneas blancas que son indicios de cicatrización y congestión en todo el mundo. "El hecho de que eso esté en una radiografía de tu tórax - es indicativo de que posiblemente tengas problemas más adelante".
Ante ello, Bankhead-Kendall ha hecho un llamado de estar al pendiente de su salud y tomar en serio las advertencias sobre el Covid-19.
"Incluso si sobrevives, es posible que te quedes con algunas complicaciones graves que te hagan muy difícil volver a tu funcionamiento inicial", finalizó.
« El Universal »
Te podria interesar
Otras Noticias




